症例集 case

症例集

MY DENTAL CLINICで実際に治療を受けられた患者さまの症例をご紹介します。写真で治療前後を比較できるので、どの程度改善したかすぐにおわかりいただけます。
治療をご検討されている方は、ぜひご参考になさってください。

症例写真について

  • すべて当院で治療を完了し、掲載の許可をいただいた患者さまのものです。
  • トリミング(切り抜き)などを除き、画像の修正は行なっていません。
  • 治療はすべて各患者さま固有の症例に対応したものであり、ほかの方への治療結果を保証するものではありません。

症例1 下顎左側第一大臼歯に抜歯即時インプラント治療を行なった症例

下顎左側第一大臼歯に抜歯即時インプラント治療を行なった症例
下顎左側第一大臼歯に抜歯即時インプラント治療を行なった症例
下顎左側第一大臼歯に抜歯即時インプラント治療を行なった症例
下顎左側第一大臼歯に抜歯即時インプラント治療を行なった症例
下顎左側第一大臼歯に抜歯即時インプラント治療を行なった症例
下顎左側第一大臼歯に抜歯即時インプラント治療を行なった症例
下顎左側第一大臼歯に抜歯即時インプラント治療を行なった症例
下顎左側第一大臼歯に抜歯即時インプラント治療を行なった症例

女性/40代

費用/522,500円

治療期間/4ヶ月

治療内容の詳細/

保存不可能な下顎左側第一大臼歯部のインプラント治療を希望。
他院にて保存不可能と言われ来院。出来るだけ早く治療を短期間で希望。通常であれば抜歯して2〜3ヶ月組織の治癒を待ってからインプラント治療を行うが、当部の急性炎症がなく、病巣が広範囲でないなどの条件が良かったため、抜歯即時のインプラント治療を適用。
術前にX線、CT撮影、インプラント治療のシミュレーションを行い、コンピューターガイデッドサージェリーを用いてストローマン社製BLXインプラントを適切な位置に埋入し、抜歯窩を一時閉鎖。3ヶ月後口腔内スキャナーでデジタル印象を行い、スクリュー固定式のジルコニアセラミッククラウンを作成し装着しました。

症例2 上顎左側第一小臼歯にフラップレスインプラント手術で即時修復治療を行なった症例

上顎左側第一小臼歯にフラップレスインプラント手術で即時修復治療を行なった症例
上顎左側第一小臼歯にフラップレスインプラント手術で即時修復治療を行なった症例
上顎左側第一小臼歯にフラップレスインプラント手術で即時修復治療を行なった症例
上顎左側第一小臼歯にフラップレスインプラント手術で即時修復治療を行なった症例
上顎左側第一小臼歯にフラップレスインプラント手術で即時修復治療を行なった症例
上顎左側第一小臼歯にフラップレスインプラント手術で即時修復治療を行なった症例
上顎左側第一小臼歯にフラップレスインプラント手術で即時修復治療を行なった症例
上顎左側第一小臼歯にフラップレスインプラント手術で即時修復治療を行なった症例

女性・40代

費用/577,500円

治療期間/3ヵ月

治療内容の詳細/

上顎左側第一小臼歯部のインプラントによる治療を希望。
2年前に歯牙を抜歯してそのまま放置していた。術前のX線、CT撮影により十分な骨量が認められたため、今回は歯肉を切開しない低侵襲なフラップレスインプラント手術を選択。インプラントによる治療のシミュレーションを行ない、コンピューターガイデッドサージェリーを用いてストローマン社製BLXインプラントを適切な位置に埋入し、即日に仮歯を装着する即時修復治療を実施。約2ヵ月後口腔内スキャナーでデジタル印象採得を行ない、スクリュー固定式のジルコニアセラミッククラウンを作製し装着。

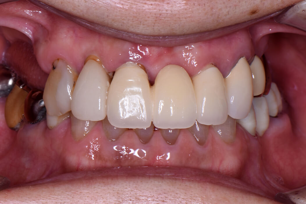
症例3 上顎右側前歯部に抜歯即時インプラント治療を行なった症例

上顎右側前歯部に抜歯即時インプラント治療を行なった症例
上顎右側前歯部に抜歯即時インプラント治療を行なった症例
上顎右側前歯部に抜歯即時インプラント治療を行なった症例
上顎右側前歯部に抜歯即時インプラント治療を行なった症例
上顎右側前歯部に抜歯即時インプラント治療を行なった症例
上顎右側前歯部に抜歯即時インプラント治療を行なった症例
上顎右側前歯部に抜歯即時インプラント治療を行なった症例
上顎右側前歯部に抜歯即時インプラント治療を行なった症例

男性/30代

費用/737,000円

治療期間/4ヶ月

治療内容の詳細/

保存不可能な上顎右側前歯部(乳歯の晩期残存と残根歯)のインプラント治療を希望。
2本の保存不可能な歯を抜歯し、即日にインプラントを埋入する抜歯即時インプラント治療を適用。術前にX線、CT撮影、インプラント治療のシミュレーションを行い、スペースが少ないため2本の欠損に対して1本のインプラントを計画。コンピューターガイデッドサージェリーを用いてストローマン社製BLXインプラントをフラップレスにて適切な位置に埋入し、即日に仮歯も装着して見栄えも考慮し、低侵襲な治療ができました。3ヶ月後口腔内スキャナーでデジタル印象を行い、スクリュー固定式のジルコニアセラミッククラウンを作成し装着しました。

症例4 上顎前歯の欠損部にインプラント治療を行なった症例

上顎前歯の欠損部にインプラント治療を行なった症例
上顎前歯の欠損部にインプラント治療を行なった症例
上顎前歯の欠損部にインプラント治療を行なった症例
上顎前歯の欠損部にインプラント治療を行なった症例
上顎前歯の欠損部にインプラント治療を行なった症例
上顎前歯の欠損部にインプラント治療を行なった症例
上顎前歯の欠損部にインプラント治療を行なった症例
上顎前歯の欠損部にインプラント治療を行なった症例

男性/60代

費用/1,138,500円

治療期間/6ヶ月

治療内容の詳細/

他院で2ヶ月前に虫歯で前歯を抜歯してインプラント治療を希望。
術前にX線、CT撮影、インプラント治療のシミュレーションを行い、コンピューターガイデッドサージェリーを用いてストローマン社製BLXインプラントを適切な位置に2本埋入し、同時に周囲組織の増生を行いました。3ヶ月後口腔内スキャナーでデジタル印象を行い、スクリュー固定式のブリッジの仮歯を作成して装着し、周囲組織の調整を行い、その後スクリュー固定式のジルコニアセラミックブリッジを作成し装着しました。今回、3本の欠損に対して3本のインプラントを埋入するより、2本のインプラントでブリッジにした方が審美的に優位でコストも抑えられます。

症例5 下顎左側臼歯部の欠損部にインプラント治療を行なった症例

下顎左側臼歯部の欠損部にインプラント治療を行なった症例
下顎左側臼歯部の欠損部にインプラント治療を行なった症例
下顎左側臼歯部の欠損部にインプラント治療を行なった症例
下顎左側臼歯部の欠損部にインプラント治療を行なった症例
下顎左側臼歯部の欠損部にインプラント治療を行なった症例
下顎左側臼歯部の欠損部にインプラント治療を行なった症例

男性/60代

費用/1,017,500円

治療期間/3ヶ月

治療内容の詳細/

下顎左側臼歯部の欠損部にインプラント治療を希望。
術前にX線、CT撮影を行い、第一小臼歯の歯根破折を確認したため、同部は抜歯即時インプラント治療と通常のインプラント治療を同時に行う計画を立てました。ストローマン社製ティッシュレベルインプラントをそれぞれ埋入し、1回法の手術を行いました。これによってインプラント周囲に適切な軟組織を獲得できます。2ヶ月後口腔内スキャナーでデジタル印象を行い、スクリュー固定式のブリッジの仮歯を作成して装着し、周囲組織の調整を行い、その後スクリュー固定式のジルコニアセラミックブリッジを作成し装着しました。今回、3本の欠損に対して2本のインプラントでブリッジにしても十分な能力を発揮でき、コストも抑えられます。

症例6 上顎右側臼歯部に抜歯即時インプラントと上顎洞挙上術(ソケットリフト)を行なった症例

上顎右側臼歯部に抜歯即時インプラントと上顎洞挙上術(ソケットリフト)を行なった症例
上顎右側臼歯部に抜歯即時インプラントと上顎洞挙上術(ソケットリフト)を行なった症例
上顎右側臼歯部に抜歯即時インプラントと上顎洞挙上術(ソケットリフト)を行なった症例
上顎右側臼歯部に抜歯即時インプラントと上顎洞挙上術(ソケットリフト)を行なった症例
上顎右側臼歯部に抜歯即時インプラントと上顎洞挙上術(ソケットリフト)を行なった症例
上顎右側臼歯部に抜歯即時インプラントと上顎洞挙上術(ソケットリフト)を行なった症例
上顎右側臼歯部に抜歯即時インプラントと上顎洞挙上術(ソケットリフト)を行なった症例
上顎右側臼歯部に抜歯即時インプラントと上顎洞挙上術(ソケットリフト)を行なった症例

女性/40代

費用/1,083,500円

治療期間/4ヶ月

治療内容の詳細/

上顎右側臼歯部のインプラント治療を希望。
術前のX線、CT撮影により上顎右側小臼歯の保存が難しいため、抜歯して即時にインプラント治療を行い、後方の大臼歯には上顎洞挙上術(ソケットリフト)を同日に行う治療計画を立てました。インプラント治療のシミュレーションを行い、小臼歯部には抜歯後ストローマン社製BLXインプラントを、大臼歯部には上顎洞挙上術(ソケットリフト)後ストローマン社製ティッシュレベルインプラントをそれぞれ埋入しました。約3ヶ月後口腔内スキャナーでデジタル印象を行い、スクリュー固定式のジルコニアセラミックブリッジを作成し装着しました。

症例7 上顎両側臼歯部に抜歯即時インプラントと即時荷重治療を行なった症例

上顎両側臼歯部に抜歯即時インプラントと即時荷重治療を行なった症例
上顎両側臼歯部に抜歯即時インプラントと即時荷重治療を行なった症例
上顎両側臼歯部に抜歯即時インプラントと即時荷重治療を行なった症例
上顎両側臼歯部に抜歯即時インプラントと即時荷重治療を行なった症例
上顎両側臼歯部に抜歯即時インプラントと即時荷重治療を行なった症例
上顎両側臼歯部に抜歯即時インプラントと即時荷重治療を行なった症例
上顎両側臼歯部に抜歯即時インプラントと即時荷重治療を行なった症例
上顎両側臼歯部に抜歯即時インプラントと即時荷重治療を行なった症例
上顎両側臼歯部に抜歯即時インプラントと即時荷重治療を行なった症例
上顎両側臼歯部に抜歯即時インプラントと即時荷重治療を行なった症例

女性・40代

費用/2,145,000円

治療期間/4ヵ月

治療内容の詳細/

上顎両側臼歯部のインプラント治療を希望。
術前のX線、CT撮影により上顎右側小臼歯の保存が難しいため、抜歯して即時にインプラント治療を行い、同日に仮歯を入れて噛めるようにする即時荷重治療の治療計画を立てました。インプラント治療のシミュレーションを行い、保存不可能な歯牙を抜歯後、コンピューターガイデッドサージェリーを用いてストローマン社製BLXインプラントを適切な位置に埋入(後方のインプラントは上顎洞を避けるように傾斜)し、即日に仮歯を装着する即時荷重治療を行いました。約3ヶ月後口腔内スキャナーでデジタル印象を行い、スクリュー固定式のジルコニアセラミックブリッジを作成し装着しました。患者様は歯が無い時期がなく、食事等普段の生活に支障はなく過ごすことが出来ました。

症例8 歯科治療が苦手な患者様が全体的に頑張って治療を行なった症例

歯科治療が苦手な患者様が全体的に頑張って治療を行なった症例
歯科治療が苦手な患者様が全体的に頑張って治療を行なった症例
歯科治療が苦手な患者様が全体的に頑張って治療を行なった症例
歯科治療が苦手な患者様が全体的に頑張って治療を行なった症例
歯科治療が苦手な患者様が全体的に頑張って治療を行なった症例
歯科治療が苦手な患者様が全体的に頑張って治療を行なった症例
歯科治療が苦手な患者様が全体的に頑張って治療を行なった症例
歯科治療が苦手な患者様が全体的に頑張って治療を行なった症例
歯科治療が苦手な患者様が全体的に頑張って治療を行なった症例
歯科治療が苦手な患者様が全体的に頑張って治療を行なった症例
歯科治療が苦手な患者様が全体的に頑張って治療を行なった症例
歯科治療が苦手な患者様が全体的に頑張って治療を行なった症例
歯科治療が苦手な患者様が全体的に頑張って治療を行なった症例

女性/60代

費用/4,527,600円(内矯正治療356,400円)

治療期間/1年5ヶ月

治療内容の詳細/

治療が苦手だが頑張って全体的に治したいと歯科治療を希望。
術前のX線、CT撮影により保存が可能な歯、不可能な歯を選別し、患者様が出来るだけ歯を残したいという希望も考慮して治療計画を立てました。
先ずは保存不可能な歯を抜歯して、臼歯部にストローマン社製ティッシュレベルインプラント、BLTインプラントを埋入し、約2ヶ月後に仮歯を入れて奥歯の噛む位置を決定し、下顎の前歯の叢生(デコボコ状態)はマウスピース矯正(クリアコレクト)を使用して歯列矯正を行い、その後上顎の前歯の欠損部にはストローマン社製BLTインプラントを埋入し、約2ヶ月後に仮歯を入れました。全体的に仮歯の状態で噛み合わせの調整をした後、口腔内スキャナーでデジタル印象を行い、自身の歯にはジルコニアセラミッククラウン、インプラント部にはスクリュー固定式のジルコニアセラミッククラウンを作成し装着しました。約1年5ヶ月の治療期間でしたが、患者様は最後まで頑張って治療を受けていただきました。

症例9 下顎に4本のインプラントを使って固定式ブリッジを行った(オールオンフォー)症例

下顎に4本のインプラントを使って固定式ブリッジを行った(オールオンフォー)症例
下顎に4本のインプラントを使って固定式ブリッジを行った(オールオンフォー)症例
下顎に4本のインプラントを使って固定式ブリッジを行った(オールオンフォー)症例
下顎に4本のインプラントを使って固定式ブリッジを行った(オールオンフォー)症例
下顎に4本のインプラントを使って固定式ブリッジを行った(オールオンフォー)症例
下顎に4本のインプラントを使って固定式ブリッジを行った(オールオンフォー)症例
下顎に4本のインプラントを使って固定式ブリッジを行った(オールオンフォー)症例
下顎に4本のインプラントを使って固定式ブリッジを行った(オールオンフォー)症例
下顎に4本のインプラントを使って固定式ブリッジを行った(オールオンフォー)症例
下顎に4本のインプラントを使って固定式ブリッジを行った(オールオンフォー)症例
下顎に4本のインプラントを使って固定式ブリッジを行った(オールオンフォー)症例

女性/70代

費用/2,277,000円

治療期間/4ヶ月

治療内容の詳細/

下顎を固定式の歯にしたいということでインプラント治療を希望。
術前のX線、CT撮影により下顎残存歯の保存が難しいため、抜歯して即時にインプラント治療を行い、同日に仮歯を入れて噛めるようにする即時荷重治療の治療計画を立てました。インプラント治療のシミュレーションを行い、保存不可能な歯牙を抜歯後、コンピューターガイデッドサージェリーを用いてストローマン社製BLXインプラントを適切な位置に4本埋入し、即日に仮歯を装着する即時荷重治療を行いました。約3ヶ月後口腔内スキャナーでデジタル印象を行い、スクリュー固定式のジルコニアセラミックブリッジを作成し装着しました。患者様は歯が無い時期がなく、食事等普段の生活に支障はなく過ごすことが出来ました。
患者様はインプラントのブリッジがよく噛めるので、上顎の入れ歯もインプラントにしたいということで現在治療中です。

インプラントによる治療にともなう一般的なリスク・副作用

  • ・機能性や審美性を重視するため自費(保険適用外)での診療となり、保険診療よりも高額になります。
  • ・インプラントの埋入にともない、外科手術が必要となります。
  • ・高血圧症、心臓疾患、喘息、糖尿病、骨粗鬆症、腎臓や肝臓の機能障害などがある方は、治療を受けられないことがあります。
  • ・手術後、痛みや腫れが現れることがありますが、ほとんどの場合1週間ほどで治ります。
  • ・手術後、歯肉・舌・唇・頬の感覚が一時的に麻痺することがあります。また、顎・鼻腔・上顎洞(鼻腔の両側の空洞)の炎症、疼痛、組織治癒の遅延、顔面部の内出血が現れることがあります。
  • ・手術後、薬剤の服用により眠気、めまい、吐き気副作用が現れることがあります。
  • ・手術後、喫煙や飲酒をすると治療の妨げとなるので、1週間は控えてください。
  • ・インプラントの耐用年数は、口腔内の環境(骨・歯肉の状態、咬み合わせ、歯磨きの技術、メインテナンスの受診頻度、喫煙の有無など)により異なります。
  • ・毎日の清掃が不十分だった場合、インプラント周囲炎(歯肉の腫れや骨吸収など)を引き起こすことがあります。